 |
 |
 |
|
Pagina 1 di 1
|
[ 7 messaggi ] |
|
| Autore |
Messaggio |
|
pezio
Iscritto il: 24/04/2014, 19:12 Messaggi: 120 Località: Monfalcone (GO)
Formazione: Licenza media
|
Ho una piccola rosa le cui foglie erano macchiate di giallo, con all'interno del giallo una macchia nera. Ho cominciato a dare il verderame ed ora le foglie sono macchiate solo di nero, come da foto. Gentilmente chiedo lumi in merito Grazie grazie
Allegati:
Image 001.jpg [ 324.57 KiB | Osservato 644 volte ]
_________________ Se smetti di imparare, cominci ad invecchiare. Per imparare è importante anche qualcuno che sia disponibile ad insegnare. Che è sempre da ringraziare.
|
| 29/04/2024, 23:51 |
|
 |
|
|
 |
|
Alessandro1944
Iscritto il: 03/09/2017, 10:18 Messaggi: 2706 Località: bassa Valsusa
Formazione: Buoni studi
|
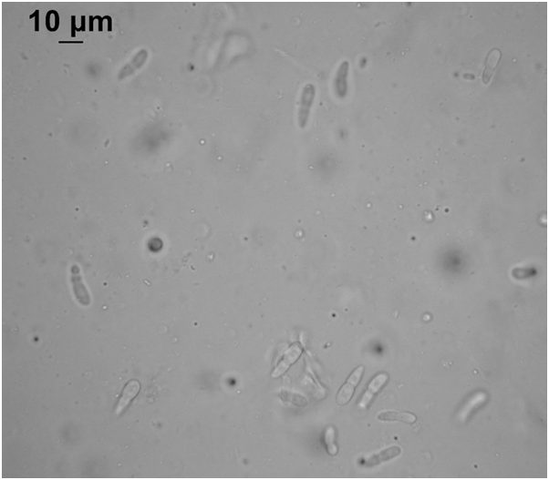
Si tratta della ticchiolatura (detta anche 'macchia nera') della rosa. La malattia è causata da un fungo (Diplocarpon rosae) e nel corso della stagione primaverile-estiva viene diffusa da elementi (conidi) che vengono prodotti da minuti copriccioli tondeggianti scuri (acervuli) che si formano sulla superficie colpita (ti metto mie foto). Il controllo è di tipo preventivo con rameici (o altri fungicidi per chi ha l'apposito patentino per i prodotti fitosanitari ad uso professionale). Poiché si tratta di interventi preventivi atti ad impedire la germinazione dei propaguli infettivi una volta giunti a contatto della superficie fogliare, occorre intervenire in caso di condizioni favorevoli alla malattia (umidità, pioggia): quello che hai fatto va bene ma a prevenzione di ulteriori infezioni (il danno non si può curare/eliminare). A fine stagione è bene eliminare le foglie cadute perché è su di esse che il patogeno si conserva.
Allegati:
ticchiolatura rosa conidi.png [ 202.59 KiB | Osservato 636 volte ]
ticchiolatura rosa acervili.png [ 222.48 KiB | Osservato 636 volte ]
|
| 30/04/2024, 0:57 |
|
 |
|
pezio
Iscritto il: 24/04/2014, 19:12 Messaggi: 120 Località: Monfalcone (GO)
Formazione: Licenza media
|
Ma prima c’era un’altra malattia? Quando le macchie erano gialle con la macchia nera al centro ? Prima del trattamento con il verderame intendo Grazie
_________________ Se smetti di imparare, cominci ad invecchiare. Per imparare è importante anche qualcuno che sia disponibile ad insegnare. Che è sempre da ringraziare.
|
| 01/05/2024, 9:30 |
|
 |
|
Alessandro1944
Iscritto il: 03/09/2017, 10:18 Messaggi: 2706 Località: bassa Valsusa
Formazione: Buoni studi
|
pezio ha scritto: Ma prima c’era un’altra malattia? Quando le macchie erano gialle con la macchia nera al centro ? ... Non credo proprio: dato che la macchia nera è comparsa nella porzione ingiallita significa semplicemente che il fungo era in fase di espansione ma già penetrato nello strato sottocuticolare. A quel punto il rame che hai dato è rimasto sulla superficie fogliare e il fungo ha continuato il suo ciclo infettivo.
|
| 01/05/2024, 12:11 |
|
 |
|
pezio
Iscritto il: 24/04/2014, 19:12 Messaggi: 120 Località: Monfalcone (GO)
Formazione: Licenza media
|
Perciò, serve a niente continuare con il verderame?
_________________ Se smetti di imparare, cominci ad invecchiare. Per imparare è importante anche qualcuno che sia disponibile ad insegnare. Che è sempre da ringraziare.
|
| 02/05/2024, 11:14 |
|
 |
|
Alessandro1944
Iscritto il: 03/09/2017, 10:18 Messaggi: 2706 Località: bassa Valsusa
Formazione: Buoni studi
|
Come ti ho detto serve a prevenire altre infezioni, non a curare quello che è già in atto. Puoi trattare a intervalli di una decina di giorni per 2-3 volte, almeno fino a che il tempo si mantiene umido e piovoso.
|
| 02/05/2024, 12:29 |
|
 |
|
pezio
Iscritto il: 24/04/2014, 19:12 Messaggi: 120 Località: Monfalcone (GO)
Formazione: Licenza media
|
Grazie!
_________________ Se smetti di imparare, cominci ad invecchiare. Per imparare è importante anche qualcuno che sia disponibile ad insegnare. Che è sempre da ringraziare.
|
| 02/05/2024, 19:21 |
|
|
|
Pagina 1 di 1
|
[ 7 messaggi ] |
|
Chi c’è in linea |
Visitano il forum: Bing [Bot], Google [Bot] e 45 ospiti |
|
Non puoi aprire nuovi argomenti Non puoi rispondere negli argomenti Non puoi modificare i tuoi messaggi Non puoi cancellare i tuoi messaggi Non puoi inviare allegati
|
|
 |
|